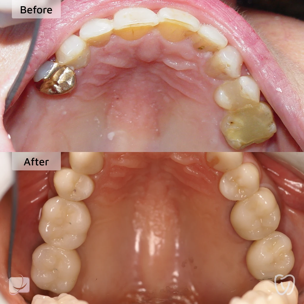
Real Results From Actual Patients
Browse real smile transformations from a few of our patients. Dr. Young specializes in delivering healthy and confident smiles at an affordable price. Give us a call to see how you can get the smile of your dreams today!



















